DETETORES DIGITAIS
AeroDR3 HD2 (G5)
Prepare-se para um desempenho superior com maior fiabilidade. O material de carbono Sheet Molding Compound (SMC) de última geração foi infundido com tecnologia antibacteriana.
A estrutura monobloco oferece um design leve e ergonómico, capaz de suportar até 400 kg sobre a sua superfície. Foi testada segundo os padrões MIL-STD 810G de resistência a quedas e IPX6 de resistência a líquidos.
Características
Compatível com tecnologia DDR
Design antibacteriano
Alta qualidade de imagem: 100 micras
Estrutura monobloco
Excelente ergonomia e pega
Certificação militar de resistência a quedas
Tempo de ciclo rápido
Aero Storage – armazenamento de imagens no próprio detector
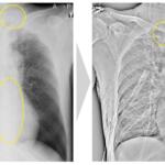
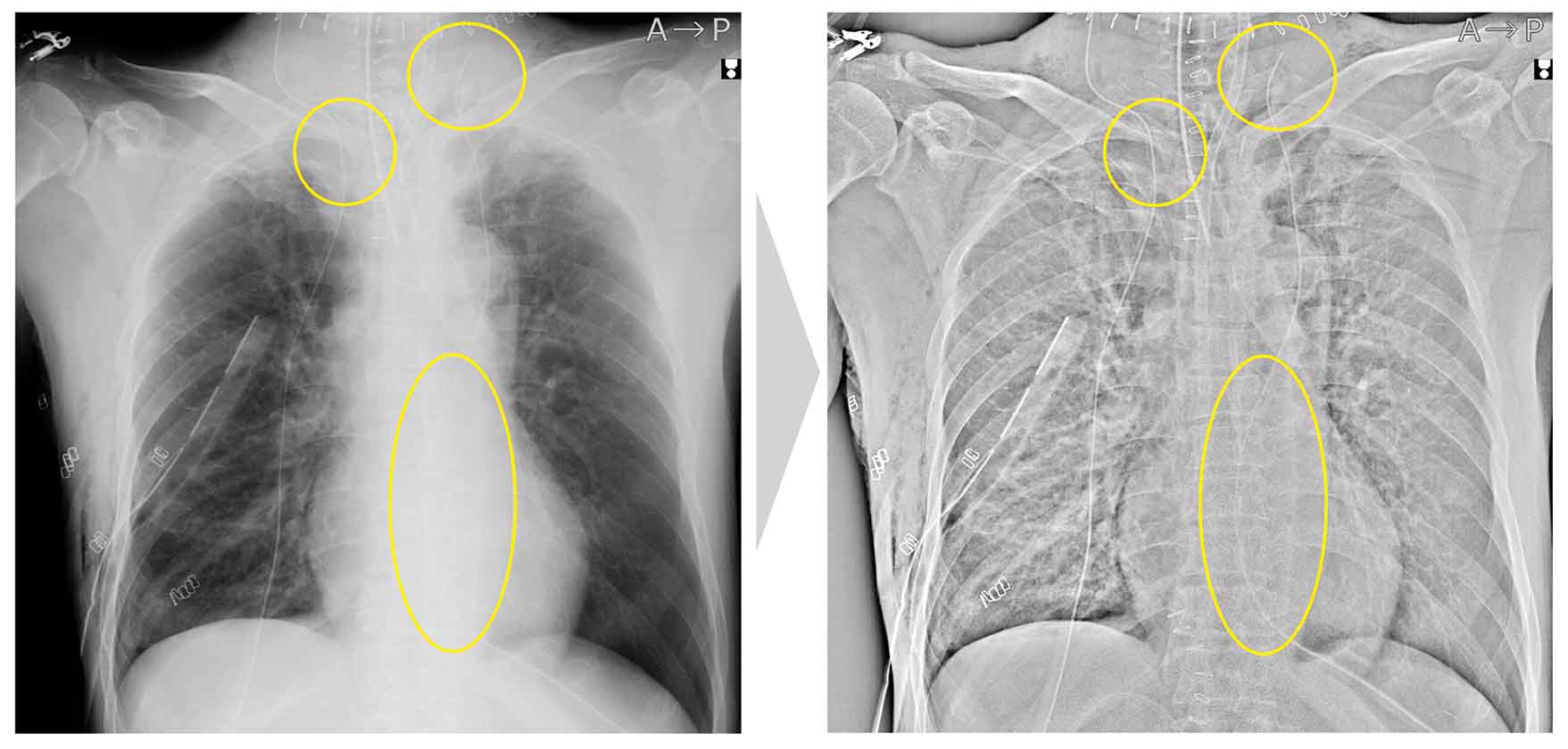
Processamento de imagem – REALISM
Imagem de alta qualidade
100 micras, elevado DQE e menor dose de radiação
- Pronto para tecnologia DDR
- Superfície em carbono SMC antibacteriana
- Estrutura monobloco
- Alta resistência
- Consola integrada CS-7





