Ecografia
HS2
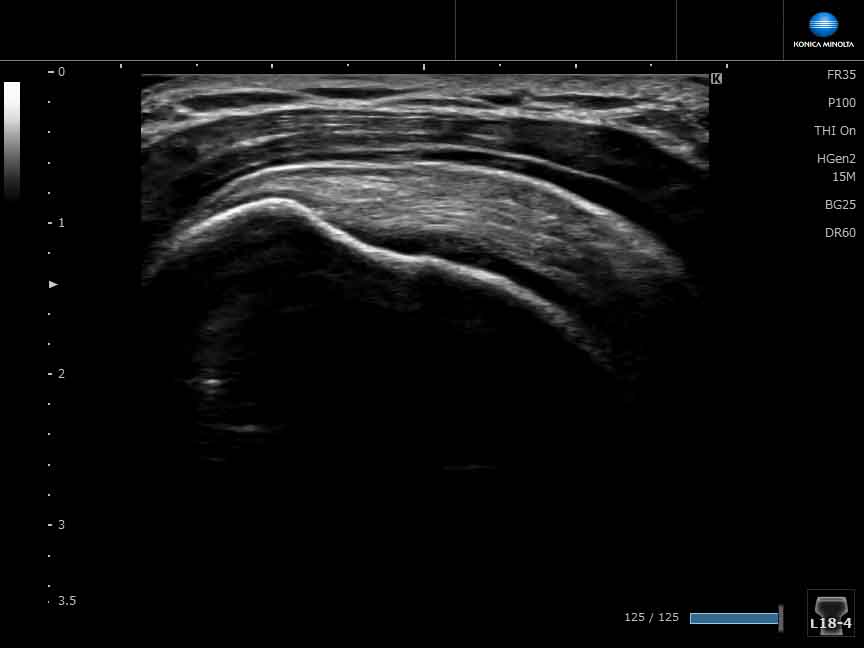
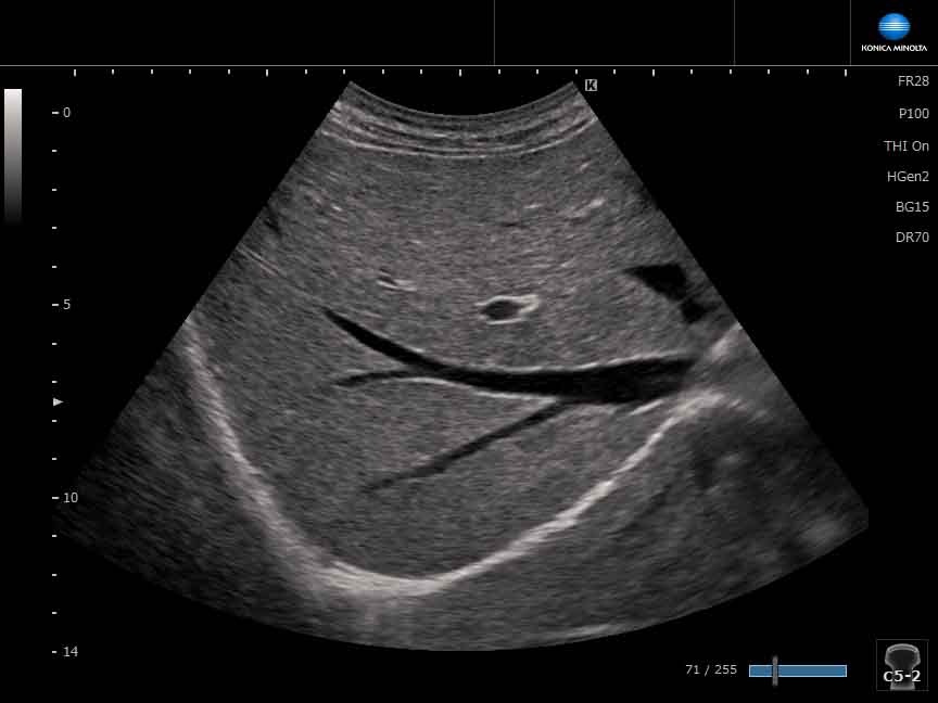
O SONIMAGE HS2 é um sistema de ultrassons portátil concebido para suportar uma ampla gama de aplicações e tipos de pacientes.
As tecnologias avançadas da Konica Minolta proporcionam imagens de alta resolução e um fluxo de trabalho eficiente, adaptando-se perfeitamente à prática clínica diária.
O Sistema HS2 proporciona imagens dinâmicas com uma visualização aprimorada da agulha para procedimentos terapêuticos, tudo num design compacto. Além disso, a sonda linear de ampla frequência, L18-4, permite a avaliação de articulações e estruturas tanto profundas quanto superficiais.
Características
- Qualidade de imagem superior para um diagnóstico seguro.
- Visualização otimizada da agulha.
- Ecrã tátil intuitivo e fácil de utilizar.
- Ecógrafo portátil desenvolvido especificamente para o utilizador.
- O HS2 deteta automaticamente a inserção da agulha.
- Sondas lineares de alta frequência da Konica Minolta.
- Fluxo de trabalho eficiente para a prática clínica diária.




